¿Estás cuidando tu salud y buscas realizarte un ultrasonido?
Contamos con gran variedad de estudios como abdomen, pélvico, tiroides, obstétrico 3D y 4D, protocolos maternofetales, estructural, entre otros.
EN CEULDI TRABAJAMOS CON LOS MÁS ALTOS ESTÁNDARES DE CALIDAD.
OFRECEMOS LOS SERVICIOS DE ULTRASONIDO MÁS CONFIABLES EN VILLAHERMOSA, TABASCO.
En Ceuldi realizamos servicios de ultrasonido confiables en Villahermosa, Tabasco para monitorear de forma eficaz el estado de salud de personas de todas las edades. Somos un centro especializado en ultrasonido líder en la región gracias a que brindamos la mejor gama de servicios de ultrasonido de alta especialidad con el respaldo de doctores con amplia experiencia, avalados por las instituciones de medicina más respetadas a nivel internacional.
Contamos con todo lo necesario para poder cumplir tus expectativas. Además, los instrumentos que utilizamos son los más modernos con la intención de darle un seguimiento adecuado.

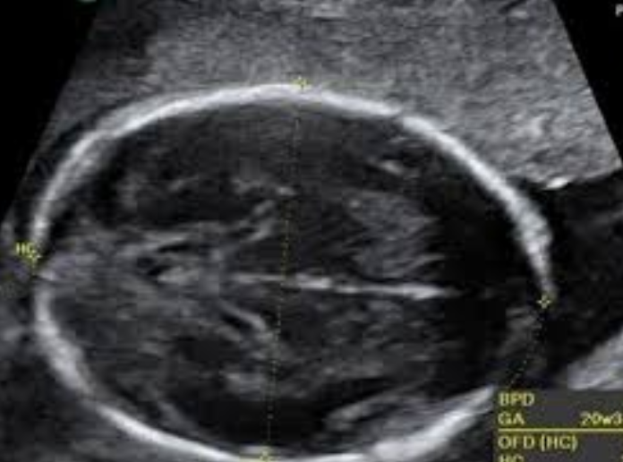
MATERNO FETAL
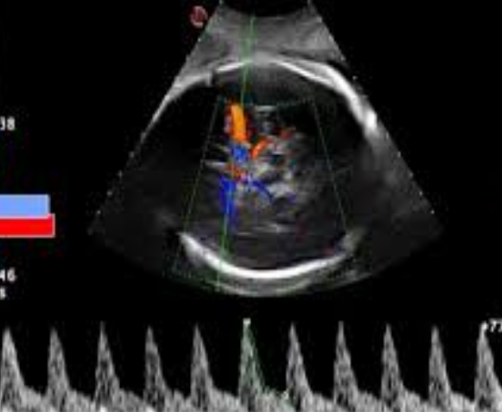
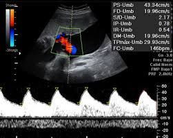
PERFIL BIOFÍSICO FETAL
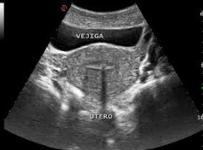
PÉLVICO O TRANSVAGINAL
ABDOMEN
Nuestros servicios de ultrasonido son proporcionados por médicos especialistas o diplomados que han sido seleccionados por su calidad académica y gusto por atender a cada paciente. Cada uno de ellos realiza procesos de actualización médica continua con protocolos internacionales.
¡Contáctanos! Buscamos ofrecerte una atención personalizada. Manejamos precios muy accesibles y nos ajustamos a tus necesidades.
Visita nuestro Facebook para estar al tanto de nuestras novedades y promociones especiales.
MISIÓN
Realizar ecografías de alta calidad en un ambiente humanista y profesional.
VISIÓN
Alcanzar niveles óptimos de visibilidad de Ceuldi, prestigio Ceuldi, calidad Ceuldi, trabajo en equipo Ceuldi de alta eficiencia y eficacia.
Servicios Especializados en Ultrasonido en Villahermosa
SERVICIOS DE ULTRASONIDO:
Contact Us
Gracias por contactarnos.
Nos pondremos en contacto con usted tan pronto como sea posible
Ups, hubo un error al enviar tu mensaje.
Por favor, inténtelo de nuevo más tarde











